安心の費用Price
月額4,700円~(460,000円を120回で分割した例・税込)
お支払い方法
- 現金
- デンタルローン
- クレジットカード




月額4,700円~(460,000円を120回で分割した例・税込)
お支払い方法





20年以上のインプラント実績が評価され 「インプラント/オールオン4なら、かまくら歯科」 という評価をいただいています。

患者さんにお伝えしたいことが
1つあります。
それは、インプラント治療は、
「どこで治療しても同じではない」
ということ。
例えば、
「成功率」、「治療期間」
「審美性」、「術後の痛み/腫れ」
歯科医師も「人」です。
能力や経験に「差」が当然あります。
この事実をもっと知って欲しい。

インプラント/歯周病の専門医を取得。


別次元の治療を皆様に

※全国10万人以上いる歯科医師の中での取得率

Simple Treatment



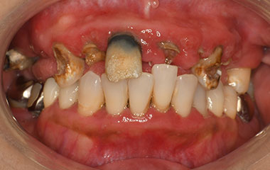
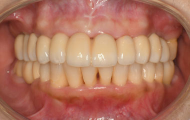
67歳 女性。残存歯がほとんど残っていないケース。どうしても総入れ歯は嫌とのことだったためオールオンフォー(All-on-4)インプラントを選択したケース。副作用・リスクは術後の腫れ、痛み、出血など。インプラント周囲炎を防ぐためメンテナンスが必要。治療費500万円(上下顎)。治療期間7ヶ月。


49歳 男性。重度歯周病の患者様。見た目の美しさを短期間で整えたいとオールオンフォー(All-on-4)インプラントで上下顎を治療。副作用・リスクは術後の腫れ、痛み、出血など。インプラント周囲炎を防ぐためメンテナンスが必要。治療費480万円(上下顎)。治療期間7ヶ月。


53歳 男性。重度歯周病で多くの欠損がある状態でした。将来的に残っている歯も抜歯になる可能性が高いため、オールオンフォー(All-on-4)インプラントを選択したケース。副作用・リスクは術後の腫れ、痛み、出血など。インプラント周囲炎を防ぐためメンテナンスが必要。治療費480万円(上下顎)。治療期間8ヶ月。


70代女性。長年部分入れ歯を使用していたが、どんどん歯が抜けていき入れ歯の修理を繰り返しており、将来的なことを考えてしっかりと噛めるようにしたいとオールオンフォー(All-on-4)インプラント治療を選択したケース。副作用・リスクは術後の腫れ、痛み、出血など。インプラント周囲炎を防ぐためメンテナンスが必要。治療費360万(上顎)。治療期間9ヶ月。


50代女性。重度の虫歯で歯を失ってしまった状態。見た目の美しさを短期間で整えたいと上顎にオールオンフォー(All-on-4)の治療を選択。副作用・リスクは術後の腫れ、痛み、出血など。インプラント周囲炎を防ぐためメンテナンスが必要。治療費260万円(上顎)。治療期間7ヶ月。


70歳 男性。上顎の前歯部の破折した失活歯を2本のインプラント治療で解決したケース。抜歯と同時にインプラントを埋入し仮歯を装着した。副作用・リスクは術後の腫れ、痛み、出血など。インプラント周囲炎を防ぐためメンテナンスが必要。治療費96万円(前歯部2本)。治療期間6ヶ月。


21歳 女性。前歯部1本の欠損をインプラント治療で解決したケース。副作用・リスクは術後の腫れ、痛み、出血など。インプラント周囲炎を防ぐためメンテナンスが必要。治療費48万円(前歯部1本)。治療期間5ヶ月。


42歳 男性。臼歯部1本の欠損をインプラントで治療したケース。副作用・リスクは術後の腫れ、痛み、出血など。インプラント周囲炎を防ぐためメンテナンスが必要。治療費43万円(臼歯部1本)。治療期間4ヶ月。
※インプラント/オールオン4/ザイゴマ治療のリスクは治療後に痛み、腫れ、出血等が起こることがあり、
インプラント周囲炎を防ぐためメンテナンスが必要となります。

愛媛県伊予郡松前町鶴吉の「愛媛インプラントクリニック かまくら歯科」。松山市からもインプラント/オールオン4/ザイゴマインプラントで多数来院される歯医者です。インプラント治療は歯を失った際の治療となりますが、それ以外にも入れ歯が合わない、ブリッジ以外の治療をしたい、骨が少ないとインプラント治療を断られた、事故で歯を失った、ひどい虫歯や重度歯周病で悩んでいる等の悩みの改善でもインプラント/オールオン4/ザイゴマインプラントは有効な治療になります。

噛むと痛い・噛むと外れるそんな入れ歯の悩みを解決します。

ブリッジ治療を繰り返し、徐々に歯が少なくなってきた方へ。

「骨が足りない」「できない」そう言われた方は必見です。

治療後の不具合、リカバリーできる可能性があります。

転倒などで歯を失った方でもインプラント治療で回復できます。

見栄えの悪い粗雑な保険治療もインプラントでリカバリー可能です。

基礎疾患を持っているから…そんなあなたでも大丈夫。
ボロボロの歯でも、短期間で見違えるような綺麗な歯にします。

01
歯が多く失われた方でオールオン4やザイゴマインプラントで全体的に治療する場合、口元の若返りを意識した治療を行います。



※ 写真中央のスライダを左右にドラッグして画像を比較できます
02

静脈内鎮静法を行うことで、ほぼ寝ている状態で治療を行うことができます。そのため、痛みや恐怖心なく治療を終えられます。

03

すべての無駄を省きシンプルを追求することで実現しました。もちろん高い成功率のまま。

04

埋入するインプラントの本数
により治療法を選択します。

05

デジタルの活用で人為的
ミスを最小限に抑えます

愛媛県伊予郡松前町鶴吉の歯医者、愛媛インプラントクリニックかまくら歯科。松山市からも患者さんが来院されます。患者さんに安心して治療に専念いただくため、インプラント専用オペ室、10年保証、CT等の精密機器、院内常駐の歯科技工士との連携を実施。

クレジット、電子マネー、デンタルローンに対応。

デンタルローンは最大120回までの分割にも対応しています

CONSULTATION
「会話」を大切にしています
歯医者は、怖い、冷たい印象が
あるかもしれません。
来ていただけるとわかりますが、
当院はそのような印象は一切ありません。
人と人のつながりを大切にし、
まずは「お話し」から始めさせていただきます。

毎月3,000名の患者さんが来院します







愛媛県松山市から車で20分、伊予郡松前町鶴吉の「愛媛インプラントクリニック かまくら歯科」のホームページをご覧いただき誠にありがとうございました。当院ではインプラント、All-on-4(6)、ザイゴマインプラントの治療について治療内容の解説や症例紹介、治療の流れ、治療費などを掲載しております。また噛めない「入れ歯」、「ブリッジ治療」を繰り返している、他院で「インプラント」を断られた、「虫歯/歯周病」でボロボロになった、「事故」で歯が失われた、「保険治療の繰り返し」で見た目が悪くなった、主治医以外の話を聞く「セカンドオピニオン」などのお悩み別や、短期間で治療を終えたい/遠方に住んでいる、痛み/恐怖心なく治療を終えたい、1日で噛める綺麗な歯を手に入れたいなどのご希望別での治療のご案内をしています。本サイトでは患者さんから選ばれる理由、若返り効果、他院の失敗ケースのリカバリー、インプラント周囲炎を予防する体制など当院のインプラント治療の特徴などもご紹介。ぜひご覧ください。伊予鉄バス停留所「JA松山市鶴吉倉庫前」から徒歩6分、「南伊予」駅から車で3分、「北伊予」駅から車で4分。水曜日を除いて平日から土曜日まで毎日診療中。
